Follow Us

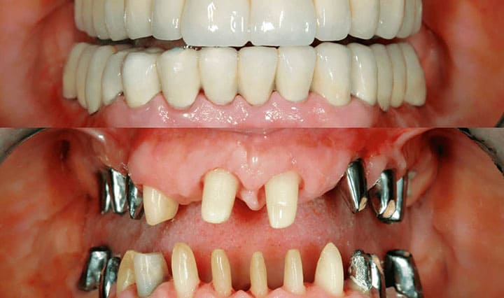
A Full Mouth Rehabilitation

A Full Mouth Rehabilitation

A full mouth rehabilitation refers to a combination of different dental treatments and procedures conducted over time to correct a wide variety of dental issues and rebuild healthy smiles. Defined as a restorative approach, a full mouth rehabilitation does not only intend to bring back smiles, but it also aims to improve function while strengthening oral health and tooth structure covering both upper and lower teeth. The customized treatments required for a full mouth rehabilitation are hinged upon an individual’s dental problems, ranging from mild to serious issues. Since a full mouth rehabilitation renews both appearance and function of teeth and gums, it allows the patients to smile more comfortably with enhanced confidence.

At our clinic a full mouth rehabilitation in which restorative procedures combined with cosmetic dentistry has been deployed to offer a tailored smile makeover best suited for each individual. In fact, our highly experienced dentists provide consultations where we can discuss your smile concerns and make professional recommendations on required procedures that can help to correct dental issues, resulting in enhancing your smile confidence and good oral health in the long run.

Why A Full Mouth Rehabilitation?

A full mouth rehabilitation combines esthetics with restorative dentistry to enhance the oral health and function as well as desired appearance of the teeth. A full mouth rehabilitation is designed for:

  • Correcting afflicted teeth.
  • Replacing missing teeth.
  • Improving teeth functions, e.g. chewing and biting.
  • Raising self-esteem and regaining a more beautiful smile.
  • Promoting overall oral health.

Suitable Candidates For A Full Mouth Rehabilitation

A full mouth rehabilitation is suitable for people who have experienced following dental issues:

  • Excessive tooth wear, prolonged tooth abrasion or tooth erosion when the teeth start to lose enamel.
  • Teeth grinding at night (sleep bruxism) causing pain or discomfort in the mouth, jaw and facial muscle.
  • Certain dental conditions which are untreated or treated improperly.
  • Extended poor dental hygiene presenting with multiple afflicted teeth.
  • Congenital abnormalities affecting enamel formation.

Advantages Of A Full Mouth Rehabilitation

  • Repairing the damaged teeth, e.g. tooth erosion or abrasion, alleviating pain and tooth desensitization.
  • Enhancing teeth functions, e.g. chewing and cutting, allowing for a better appetite.
  • Promoting an esthetic appearance.
  • Improving biting and grinding while strengthening jaw joints and facial muscles.